Um homem de 43 anos foi hospitalizado após um incidente inusitado envolvendo uma escova de dentes. Segundo um estudo publicado recentemente, o paciente sofreu uma fratura no pênis ao inserir o objeto no órgão durante uma tentativa de “satisfação sexual”.
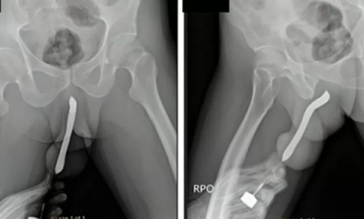
O homem, cuja identidade não foi divulgada, procurou o pronto-socorro cerca de doze horas após o ocorrido. Durante a relação sexual, a escova de dentes se quebrou dentro do seu pênis, levando-o a buscar ajuda médica.
De acordo com o relatório, esta não foi a primeira vez que o paciente se envolveu em tal prática. Desde 2017, ele tinha um histórico de inserção de escovas de dentes no dorso e ventre do pênis.
Ao chegar ao hospital, ele apresentava sintomas como dor intensa, inchaço e hematomas. Os médicos confirmaram a presença do objeto através de exames de imagem, e ele foi submetido a uma cirurgia de remoção. Após o procedimento, o paciente se recuperou bem e recebeu alta três dias depois.
No mês seguinte, o homem relatou aos médicos que não apresentava deformidades e que sua vida sexual havia voltado ao normal.
Este caso chama atenção para os riscos e as possíveis consequências graves de práticas sexuais perigosas. A inserção de objetos estranhos no trato genital pode causar fraturas, infecções e danos aos órgãos internos.
A notícia destaca a importância da educação sexual e da conscientização sobre práticas seguras para evitar acidentes semelhantes. A intervenção médica imediata é crucial para garantir um tratamento adequado e prevenir complicações adicionais em casos de lesões genitais.









